おかげさまで開設25周年WWW.GREATIDEACONSULTING.COM.AU 創業祭

WWW.GREATIDEACONSULTING.COM.AU

詳しくはこちら
マイストア マイストア 変更
  • 即日配送
  • 広告
  • 取置可能
  • 店頭受取

HOT ! dustcell LOCUS 赤い表紙 Nuclear Red™ DCS1 *5 mM DMSO Solution* | AAT Bioquest

※WWW.GREATIDEACONSULTING.COM.AU 限定モデル
YouTuberの皆様に商品の使い心地などをご紹介いただいております!
紹介動画はこちら

ネット販売
価格(税込)

6960

  • コメリカード番号登録、コメリカードでお支払いで
    コメリポイント : 4ポイント獲得

コメリポイントについて

購入個数を減らす
購入個数を増やす

お店で受け取る お店で受け取る
(送料無料)

受け取り店舗:

お店を選ぶ

近くの店舗を確認する

納期目安:

13時までに注文→17時までにご用意

17時までに注文→翌朝までにご用意

受け取り方法・送料について

カートに入れる

配送する 配送する

納期目安:

2025.10.10 7:7頃のお届け予定です。

決済方法が、クレジット、代金引換の場合に限ります。その他の決済方法の場合はこちらをご確認ください。

※土・日・祝日の注文の場合や在庫状況によって、商品のお届けにお時間をいただく場合がございます。

即日出荷条件について

受け取り方法・送料について

カートに入れる

欲しいものリストに追加

欲しいものリストに追加されました

dustcell LOCUS 赤い表紙 Nuclear Red™ DCS1 *5 mM DMSO Solution* | AAT Bioquestの詳細情報

Nuclear Red™ DCS1 *5 mM DMSO Solution* | AAT Bioquest。Adjustment of cell detection tool (ki67) - Image Analysis。Ki67/MKI67 Antibody (SP6) - Unpurified (NB600-1252): Novus。赤い表紙のLOCUS、ライブの写真やMVのイラストがあります。中古 GOOD LUCK MY WAY プロモ版 ラルク L'Arc サンプル。赤い表紙 dustcell LOCUS。- タイトル: LOCUS- 色: 赤- 言語: 日本語ご覧いただきありがとうございます。
  • Nuclear Red™ DCS1 *5 mM DMSO Solution* | AAT Bioquest
  • Adjustment of cell detection tool (ki67) - Image Analysis
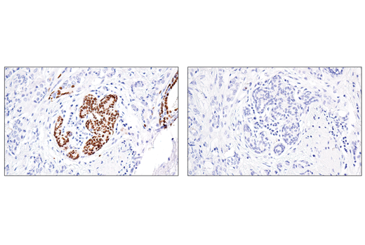
  • Ki67/MKI67 Antibody (SP6) - Unpurified (NB600-1252): Novus
  • 赤い表紙 dustcell LOCUS

同じカテゴリの 商品を探す

ベストセラーランキングです

このカテゴリをもっと見る

この商品を見た人はこんな商品も見ています

近くの売り場の商品

このカテゴリをもっと見る

カスタマーレビュー

オススメ度  4.4点

現在、3734件のレビューが投稿されています。